間質性肺炎/肺線維症の最新の診断と治療
日本医科大学付属病院
呼吸器内科
東京都文京区千駄木

間質性肺炎/肺線維症とは?
肺は肺胞(はいほう)というブドウの房状の小さな袋が、2~3億個も集まってできています(図1)。間質性肺炎(かんしつせいはいえん)は、それらの肺胞の壁に、さまざまな原因で炎症や損傷が起こりますが、その傷の治り方に異常があり壁が硬く厚くなります。これを線維化というため、間質性肺炎は肺線維症とも呼ばれます。

肺は空気中の酸素を取り入れ、体内でできた不要な二酸化炭素を排出する臓器です。肺がこのように硬くなり進行していくと、呼吸がしにくくなり、酸素吸入も必要になるため、間質性肺炎/肺線維症は呼吸器難病です。新たな薬剤も開発され治療法も徐々に進歩してはいますが、病気の進行を少しでも遅らせるための早期診断・早期治療が必要です。
症状・原因
私たちが吸い込んだ空気は、気管や気管支などを通り、最終的に肺の奥にある「肺胞」と呼ばれる風船のような部屋に運ばれます。肺胞の壁は薄く、肺胞壁あるいは間質と呼ばれていますが、この中に毛細血管が流れています。吸った空気中の酸素が、そこで血液に取り込まれ、同時に血液中の二酸化炭素が肺胞に排出されます(図2左)。間質性肺炎は、さまざまな原因からこの肺胞壁に炎症や損傷が起こり、肺胞壁が厚く硬くなり(線維化)、酸素と二酸化炭素の交換がうまくできなくなる病気です(図2右)。

主な症状には、痰(たん)を伴わない咳(せき)や、動いた際(労作時)にみられる呼吸困難があります(労作時呼吸困難)。労作時呼吸困難は、安静時には問題がなくても、坂道や階段のみならず平地での歩行中や、入浴・排便などの日常生活の動作の中でも呼吸困難を感じることです。病気が進行してくると、安静にしていても呼吸困難を感じるようになります。また検査や治療を行っているときに急激に呼吸困難が悪化し、間質性肺炎の急性増悪(きゅうせいぞうあく)と呼ばれるきわめて重篤な病状が現れることもあります。
間質性肺炎の原因は、関節リウマチや皮膚筋炎、強皮症(きょうひしょう)などの膠原病(こうげんびょう)(自己免疫疾患)、職業や生活での粉塵への暴露(じん肺。タバコの煙なども含みます)、カビや鳥などの抗原(成分)の慢性的な吸入(過敏性肺炎)、病気の治療のための薬剤・漢方薬やサプリメントなどの健康食品(薬剤性肺炎)など、さまざまであることが知られています。
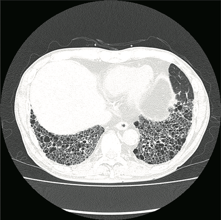
一方、詳しく調べても原因がわからない間質性肺炎もあり、これは「特発性間質性肺炎」と呼ばれます。この特発性間質性肺炎の中でも最も頻度が高く治療が難しいのが「特発性肺線維症」ですが、肺が硬くなり、胸部CTではあたかもハチの巣のように見えるため、「蜂巣肺(はちそうはい)」と呼ばれます(図3)。

検査・診断
まず症状や喫煙の有無、仕事の内容、住居の環境などを詳しく聞きます(問診)。診察では胸部の聴診(特に背中の下部)のみならず、指・爪の状態、皮膚の所見などを注意深く診ていきます。
採血では通常の血液検査の項目に加え、間質性肺炎のマーカー物質(KL-6、SP-Dなど)や、膠原病に関連する自己抗体、カビ・鳥へのアレルギーの有無などを検査します。またこれとは別に動脈からも採血を行い、血液中にどれくらいの酸素が含まれているかを評価します。
胸部X線撮影を行うとともに、間質性肺炎を詳細に分析するための高分解能コンピューター断層画像(HRCT)も撮影します。これらの画像から得られる放射線科の分析は、診断のために非常に重要な情報となります。呼吸機能検査を行い、肺活量なども測定します。さらに経皮的酸素飽和度モニターを装着し6分間歩行してもらい、酸素飽和度の変化などの測定も行います(6分間歩行試験)。
以上の検査は通常外来で実施しますが、肺の組織の一部を採取して間質性肺炎のタイプを明らかにし、治療方針を決定する目的で、肺のカメラ(=気管支鏡検査)が行われることがあります。当科では診断率の向上をめざして、気管支鏡を用いて肺の一部を凍らせて採取する「クライオ肺生検(はいせいけん)」を積極的に取り入れています。
診断が非常に難しい場合には、呼吸器外科の医師と連携して、手術で肺の一部を切除して顕微鏡などで調べる検査(外科的肺生検)も行います。これらにより、炎症が強いタイプの間質性肺炎なのか、あるいは線維化が強いのかなどを病理医と判断しています。さらに自己免疫疾患を合併している場合には、膠原病科との連携も重要になります。
間質性肺炎/肺線維症の治療
間質性肺炎の治療は、その原因によって異なります。炎症が強いタイプでは、免疫を担う細胞が出すサイトカイン(炎症を起こす物質)の産生を抑えるために、免疫抑制を行います。そのため副腎皮質(ふくじんひしつ)ステロイドや、タクロリムス、シクロホスファミドなどの免疫抑制薬を使います。
線維化が主体の場合には、抗線維化薬であるニンテダニブやピルフェニドンを内服してもらいます。副腎皮質ステロイドや免疫抑制薬、抗線維化薬を併用することもあります。
前述のさまざまな検査を組み合わせて、個々の患者さんに合った治療をお勧めしています。
更新:2026.02.02
