白内障の検査・手術について
日本医科大学付属病院
眼科
東京都文京区千駄木

白内障とは?
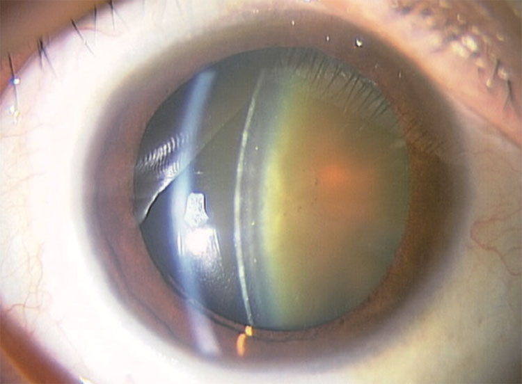
白内障とは、水晶体が混濁し、視力が低下する病気です(写真1、図1、2)。視力低下を自覚し、白内障以外の疾患がなければ、現時点では、手術が視力を向上させる唯一の治療となります。手術で濁った水晶体を除去し、眼内レンズ(IOL)を挿入することにより、視力の改善が得られます(写真2)。




白内障の原因・検査
白内障の原因は、加齢によるものがほとんどですが、そのほかに、外傷、アトピー性皮膚炎、糖尿病などがあります。白内障の進行の程度は眼科医の診察によってわかります。視力検査やさまざまな眼科検査を行い、白内障以外の原因がないか精査します。
白内障手術の際は、IOLを挿入して手術を終了します。IOLの度数が患者さん一人ひとりで異なる度数となるため、度数決定のために、手術前に眼科検査が必要となります。
コンタクトレンズ(CL)を普段装用している患者さんは、CLの装用により、IOL度数に誤差が出る可能性があります。検査前に一定期間CLを装用しない状態にして、検査を受けてもらいます。
白内障手術
水晶体は水晶体嚢(すいしょうたいのう)という、袋に包まれています。手術では、水晶体嚢の前面を円形に切り取り、そこから超音波を発するチップを入れ、核を削って吸いとり、水晶体嚢内にIOLを挿入します(図3)。

水晶体・水晶体嚢・IOLはチン小帯という靭帯(じんたい)に支えられています。チン小帯が極度に弱っていると、水晶体やIOLを支えることができず、正しい位置からずれ、眼底に落下する危険性があります。通常の白内障手術の時間は、ほかの手術に比べて短いことが大半ですが、チン小帯が極度に弱い症例では、IOLを水晶体嚢内に挿入することができず、強膜に固定するなどの治療が必要となる場合があり、手術時間が長くかかることがまれにあります。
手術は、仰向けで行うため、腰や首に疾患があり、仰向けが疼痛(とうつう)(痛み)でつらい患者さんは、事前に眼科医に伝えてください。点眼麻酔をすると、大多数の方が、痛みを感じることなく手術が可能です。意識を落とさない局所麻酔で手術を行いますので、目、顔や体を突然動かしてしまうと、手術に支障が出る可能性があります。手術中、患者さんに急に動かないようにしてもらうことが、手術の成功に不可欠です。
術後の注意点としては、術後感染性眼内炎といわれる合併症が挙げられます。ごくまれにしか発症しませんが、万が一、細菌が術後に眼内に入り感染すると、強い炎症が起こり、視力が急に低下します。その場合、もう一度手術を行い、眼内を洗浄する必要があります。場合によっては、再手術を行っても、血管や神経のダメージが強く、視力が回復しない可能性があります。術後眼内炎を防ぐために、医師の指示通りに点眼をして、目を不潔にしないように注意することが必要です。
眼内レンズ(IOL)
白内障手術の際、水晶体の代わりに挿入するIOLの度数によって、術後の裸眼でのピントの合う距離が決まります。例えば、近視の強い方は、近視を弱くすることが可能となります。IOLには、単焦点と多焦点があります。患者さん一人ひとりに適切なIOLを選択することが重要です。
単焦点IOLを挿入した場合、ピントが合う範囲は狭いです。そのため、遠くがはっきり見えるIOLを選択した場合、手元はぼやけて見え、読書など手元の作業には老眼鏡が必要となります。
多焦点IOLはピントが合う範囲が広いため、個人差がありますが、眼鏡の必要性が単焦点IOLに比較すると少なくなります。多焦点IOLは、ほかの眼疾患の影響で適応とならない患者さんがいるため、選択に注意が必要です。多焦点IOLを用いた白内障手術は保険適用ですが、選定療養という枠組みで、追加費用が必要となります。
当科の特色 眼科
当科は、角膜・結膜疾患や炎症性疾患、緑内障など薬物による長期的治療を要する疾患や、斜視弱視など、幅広い疾患に対応できる臨床体制を整えています。その中でも当院が特に力を入れている分野は、白内障・網膜疾患に対する手術です。通常の白内障手術はもちろん、難治性の白内障に対するさまざまな外科的アプローチを行っています。
黄斑前膜や黄斑円孔、網膜剥離、糖尿病網膜症など多様な網膜疾患に対し、最新の知見に基づいた硝子体手術を実施しています。また、網膜細動脈瘤破裂や眼球破裂を含む外傷、増殖硝子体網膜症など、最も難治とされる眼疾患にも積極的に手術に取り組んでいます。さらに、近年増加している加齢黄斑変性や網膜静脈閉塞症、糖尿病黄斑浮腫に対する抗VEGF薬治療にも力を入れています。
診療実績(2023年)
- 白内障手術(単独):1,200件
- 白内障+緑内障手術:98件
- 白内障+硝子体手術:221件
- IOL強膜内固定術:51件
- 硝子体手術(単独):167件
更新:2026.02.02
