変形性膝関節症にさまざまな治療法で対応
日本医科大学付属病院
整形外科・リウマチ外科
東京都文京区千駄木

変形性膝関節症とは?
関節軟骨は関節内の骨表面を覆(おお)い、弾力があり摩擦が少ない組織です。運動時の衝撃の吸収や関節のスムーズな曲げ伸ばしに必要です。しかし、加齢などとともに軟骨が徐々にすり減り、軟骨に覆(おお)われていた骨にまで変化が及ぶと、関節の曲げ伸ばしに痛みや引っかかりが伴います。これが変形性関節症(へんけいせいかんせつしょう)です。
全身の関節に起こりますが、特に膝関節(ひざかんせつ)に多く、変形性膝関節症と呼びます。進行すると、日常生活の活動性や生活の質の低下をもたらすため、早期から適切な治療を行うことが重要です。
病態、症状と原因
関節軟骨は一度損傷すると、もとの状態には再生しない組織です。関節軟骨が徐々にすり減ると、軟骨に覆われていた骨にも変化が生じます。さらに滑膜炎(かつまくえん)という関節の炎症によって、いわゆる“水”と呼ばれる関節液が溜(た)まり、関節がスムーズに曲げ伸ばしできなくなり、変形性関節症となります。
わが国において、2,500万人がX線検査で変形性膝関節症の変化を認め、そのうち800万人以上が関節症状をもっていると推定されています。また、女性が男性の2倍で、X線画像上の変化は55歳頃から増加し、80歳以上の女性の80%にみられます。
主な症状は、立ち上がりや歩き始めなど、動作開始時の膝関節の痛みや、正座やしゃがみ込みができないなどの膝関節の可動域制限です。一般的に、膝の内側が障害される内側型が多く、進行するとO脚変形をきたします。
明らかな原因のない一次性と、関節リウマチや特発性骨壊死(とくはつせいこつえし)、外傷などによる二次性があり、一次性が多いと報告されています。危険因子としては、年齢、性別、体重過多、遺伝と、関節不安定性、関節外傷、関節の過度な力学的ストレスなどが考えられます。
診断および検査
膝関節の痛みや腫(は)れ、膝の曲げ伸ばしの制限、下肢(かし)のO脚変形などを中高年の患者さんが訴えれば、変形性膝関節症を疑い、単純X線検査(一般的な、X線を照射し画像化する検査)を行います。関節の骨と骨の間が軟骨の消失とともに狭くなり、軟骨の下の骨が硬くなって、骨のトゲ(骨棘(こつきょく))ができるなどの変形の進行を評価します。Kellgren-Lawrence分類の、grade0(正常)、grade1(早期)、grade2(初期)、grade3(進行期)、grade4(末期)で病期を診断します。
治療
まずは保存療法を開始し、症状が改善しない場合や進行する症例では、手術療法を行います。
●保存療法
体重過多では減量を行い、痛みのない範囲で有酸素運動や大腿四頭筋(だいたいしとうきん)などの筋力強化、関節の曲げ伸ばし訓練を開始します。杖や膝サポーター、足底板は膝関節の痛みを緩和し、膝安定性を改善し、転倒リスクを下げる効果があります。痛みが強い場合には、炎症を抑える外用剤や貼付剤、内服薬を使用します。近年、神経障害性疼痛(とうつう)治療薬やオピオイド鎮痛薬など、内服薬にも選択肢が増えています。
関節内注射は、痛みを和らげるなどの炎症を抑える効果があり、ヒアルロン酸やステロイドを使用します。ただし、漫然とした長期継続は感染や軟骨破壊の危険性があり、行うべきではありません。
また、保険適用外ですが、多血小板血漿(けっしょう)(PRP)注射も試みられています。当院では2種類のPRP注射を導入し、膝関節専門外来で適応と判断した症例に施行しており、良好な結果が得られています。
これらの保存療法で効果が得られなければ、手術療法を行います。当院では、年齢、スポーツ復帰の希望、変形のレベルなど、個々の状態を十分に把握したうえで術式を使い分けています。
●手術療法
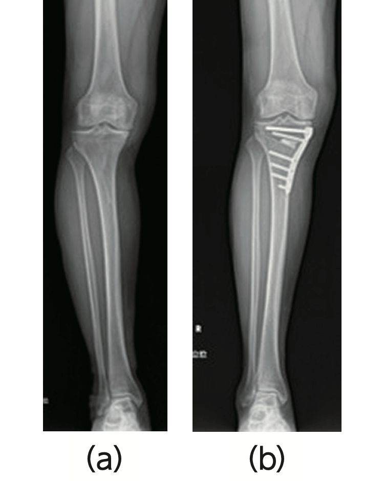
- ・膝周囲骨切り術(図1)
- 変形が膝関節内の内側または外側の一方に限られ、O脚やX脚変形を生じた、活動性の高い比較的若年者に行います。
- ・人工膝関節単顆置換術(たんかちかんじゅつ)(図2)
- 変形が膝関節の片側に限られ、関節内のそれ以外の部位の変形が軽度な高齢者に行います。
- ・人工膝関節全置換術(図3)
- 進行した変形例でも痛みを取り除き、膝の曲げ伸ばしや膝の安定性の再獲得に優れており、わが国では年間約10万件行われています。当院では、2021年4月に人工関節手術にロボティックテクノロジーを導入し、これまで以上に高精度な手術を施行しています(詳しくは(「高精度な操作による人工膝関節置換術」))。

内側型の変形性膝関節症によるO脚変形(a) を、外科的に骨切りし、ややX脚に矯正します(b)

大腿骨内側顆骨壊死による変形性膝関節症(a:単純X線画像、b:MR画像)に対し、部分的に人工関節インプラントで置換します(c)

変形性膝関節症が進行し、保存療法で痛みがコントロールできない症例(a)やさらに変形が著明な症例では、人工膝関節全置換術を施行します(b)
当院の特徴は、変形性膝関節症に対する保存療法から手術療法まで、あらゆる治療法に対応でき、最新のロボット支援下手術も行えることです。また近隣の医療施設とも連携しているため、手術が必要なところまでは進行していない患者さんの保存療法や、手術後のリハビリテーションを、近隣の医療施設で継続することもできます。
保存療法の無効例や生活の質の低下は、手術療法の考慮が必要です。また、漫然とした保存療法の長期化は手術のタイミングを逃すこともあるので、膝の痛みでお悩みであれば一度、膝関節外来を受診してください。
整形外科・リウマチ外科
当院の整形外科は、2021年4月から、ロボティックアーム手術支援システム「日本ストライカー株式会社Makoシステム」による人工膝関節置換術をスタートしました。2024年1月からロボット支援下手術の指導施設に認定され、全国の整形外科医に手術指導を開始しました。当科では患者さんの生活の質の向上を第一としています。膝関節に限らず、ほかの関節疾患や脊椎疾患も含めて内視鏡手術を積極的に取り入れるなど、体への負担を少なくして、できるだけ早期に社会復帰できるよう治療を行っています。
診療実績
2022年、当科の膝の手術実績(件数)は次の通りです。

更新:2026.02.02
