長期フォローアップも含めた治る小児がん医療
日本医科大学付属病院
小児科
東京都文京区千駄木

小児がんとは?
小児がんとは0~14歳の小児が罹(かか)るさまざまながんのことです。大人にはまれなものばかりで、血液のがんである白血病やリンパ腫(しゅ)、固形腫瘍(しゅよう)では、脳腫瘍・神経芽腫(しんけいがしゅ)・腎(じん)腫瘍・骨軟部腫瘍などがあります。治療内容も大人の疾患とは異なり、小児に特化した治療を行うことも多いです。
近年、治癒率(治る確率)は向上しており、しっかり治療を行えば全体で約80%の方が治癒しています。また治癒したあともより良い人生が過ごせるように、長期フォローアップ(継続的な外来での診察)が重要視されています。
小児がんの特徴
小児が罹るさまざまながんのことを「小児がん」といいます。国内年間発生数は2,000~2,500人(成人は約100万人)で、希少がんともいわれています。5歳以下が約半分を占め、成人がんとは全く異なる疾患構成です(図1)。

(『がん診療連携拠点病院院内がん登録 2016-2017年小児AYA集計報告書』表3-1-1、P42、小児がん中央機関、2019年をもとに作成)
「小児がん」と一言にいっても、見分けるべき疾患は多岐にわたり、しかも一つひとつの症例数が必ずしも多くないので、診断が難しいときもあります。そのため、現在国内において、小児がんを治療する施設は、自施設の診断以外に、小児悪性腫瘍専門の病理医の診断などを得る中央診断体制をとっています。正しい診断をつけ、適切な治療を行うことが何より重要です。
小児がんは早期発見が難しく、がん細胞は増殖スピードが早いので、診断されたときにはすでに進行した状態であることが多いです。一方で、抗がん剤や放射線療法の感受性がとても高いのも特徴です。治癒率は平均して約80%、一部の治りやすい腫瘍(標準リスクの急性リンパ性白血病など)では、治癒率は90%以上にも及びます。進行がんでも多くを治すことが可能なのです。そのため、小児がんの患者さんはその後の数十年を元気に過ごすことが重要なので、晩期障害(後遺症)の少ない治療を初期から十分考慮して行っています。
小児白血病の症状・治療
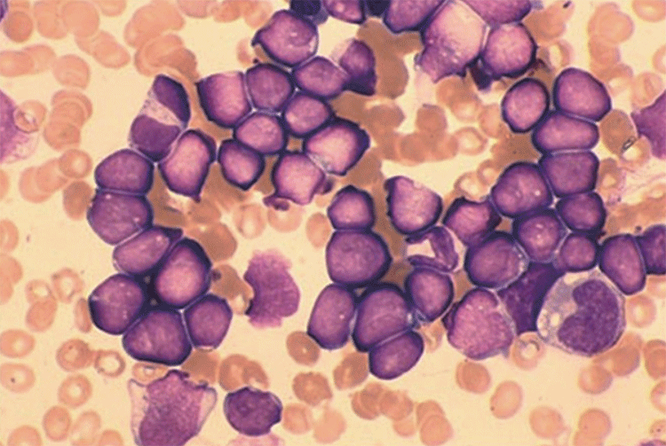
小児がんの中で一番多い白血病について解説します。白血病は、骨の中にある血液が作られる骨髄(こつずい)で、血液細胞が何らかの原因(遺伝子の異常といわれています)によりがん化した状態です。がん化した血液細胞の種類によって、主に急性リンパ性白血病と急性骨髄性白血病に分かれます。
「図2」のように、骨髄では紫で示している白血病細胞がどんどん増えていき、充満して、正常な血液を作ることができなくなります。症状としては、持続する発熱や顔色が悪くなる貧血、疲れやすくなる、あざができやすくなる、なかなか止まらない鼻血などがみられます。診断には骨髄検査を行います。この検査では腰の骨に針を刺し、骨髄液を吸引して細胞を詳しく調べます(図3)。


治療は複数の抗がん剤を使用して行い、初めの数か月から1年程度は入院中心の治療となります。再発した方や一部治りにくい方には、造血細胞移植という骨髄移植や臍帯血(さいたいけつ)移植を行います。
最近では、従来の治療法とは全く異なる、白血病細胞の表面にある特定の分子を標的にした治療も組み入れられるようになってきています。
最新の治療
がんの治療は、治療技術の進歩とともに変わります。多くの治療法の中で、その時点で得られている科学的な根拠に基づいた最善の治療を「標準治療」と呼びます。小児がんの場合、患者さんの数が少ないため、標準治療をより良くするために、多くの施設で臨床試験として治療が行われることもあります(図4)。

国内では、小児がんに対する最善の治療の確立や最先端の医療を開発・提供するため、日本小児がん研究グループ(The Japan Children’s Cancer Group:JCCG)が設立され、多くの小児がんに対して多施設共同臨床試験を行っています。
当院は、多くのJCCGの臨床試験に参加しています。疾患ごとに治療方法はさまざまですので、丁寧に説明して、納得してもらったうえで治療を始めています。
当科の特色 小児科
小児血液・腫瘍疾患は、半年から1年程度の入院期間が必要になる場合があります。学童期のお子さんは、訪問学級の制度が整えられており、休学することなく勉強をしながら治療を受けることができます。
治療終了後にさまざまな問題(特に治療に関連したり、疾患そのものに関連したりした障害、合併症など)が起こることがあり、長期フォローアップにも積極的に取り組んでいます。
当院は、地域の質の高い小児がん医療および支援を提供するため、国が定めた指針に基づき、小児がん連携病院に指定されました。また「東京都小児がん診療病院」としても認定されています。
診療実績
2020~2022年
新規に診断された小児がん患者さん 23人
病棟には絶えず10人近い小児がん患者さんが入院加療しています。
更新:2026.02.02
